導讀:本文通過分析總結5項關于干細胞在酒精性肝病中的應用的文獻,從而評估干細胞移植作為酒精性肝病患者的潛在治療方法的安全性和有效性,重點介紹了干細胞治療酒精性肝病的臨床效果。
酒精性肝病(Alcoholic Liver Disease, ALD)是由于長期大量飲酒導致的一系列肝臟疾病。這種疾病的發展通常經歷幾個階段:最初是脂肪肝,隨后可能發展為酒精性肝炎、肝纖維化,最終可能導致肝硬化,甚至肝功能衰竭。酒精性肝病是全球范圍內可預防的肝病之一,其發病率在飲酒文化盛行的國家尤為突出。
- 相關閱讀請瀏覽(什么是酒精性肝病?階段、癥狀及其治療方法)

酒精性肝病的治療方法
目前治療酒精性肝病的方法主要是戒酒、藥物治療、肝移植和干細胞治療。遺憾的是,這些方法并非對每個患者都有效,更重要的是:
許多患者難以完全戒酒,這可能是由于酒精依賴、社交壓力或缺乏有效的戒酒支持。而藥物如皮質類固醇可以減輕炎癥,但它們可能帶來感染風險增加等副作用。至于肝移植由于住院費用高、移植手術風險高以及術后持續的免疫抑制治療,導致只有少數酒精性肝病患者能夠接受肝臟移植以獲得更好的生活。并且術后患者需要長期服用免疫抑制劑,以防止排斥反應。
5項研究250例患者證明:干細胞治療酒精性肝病安全有效
近年來,隨著再生醫學的發展,干細胞治療脂肪肝作為一種新興的治療方法,利用干細胞的自我更新和分化潛能,為酒精性肝病患者提供新的修復策略。
本文通過分析總結5項干細胞治療酒精性肝病的臨床試驗結果,從而評估干細胞移植作為酒精性肝病患者的潛在治療方法的安全性和有效性。
①臨床試驗一:自體骨髓間充質干細胞治療失代償期酒精性肝硬化療效
2015年11月15日,解放軍第180醫院在行業期刊《實用肝臟病雜志》上發表了一篇關于自體骨髓間充質干細胞治療失代償期酒精性肝硬化療效分析的臨床案例成果。【1】

方法:2007年至2012年在我院行骨髓間充質干細胞移植治療的失代償期酒精性肝硬化患者28例,給予基礎治療聯合BMSCs移植治療;按照性別、年齡和并發癥進行1:1傾向性評分匹配選擇另28例患者為對照,只接受基礎治療。
有效性評估
1.療效評估
在移植后,患者血清ALT迅速下降,于術后第1w降至接近正常水平,TBIL于術后第12w才顯著下降;ALB逐漸升高,于第4w顯著高于基線;PT于第12w才顯著改善,CPS和MELD評分均于第4w顯著下降(表2和圖1)。


2.生存率評估
分層分析顯示,在12例CPS B級患者,治療組生存率為66.7%,顯著高于對照組的36.4%(P=0.046)。

安全性評估:移植后有8例患者出現低熱,經血常規、血培養及降鈣素原檢測,無感染跡象,均于移植后1周內體溫恢復正常。無與移植相關的嚴重并發癥出現。
結論:BMSCs移植治療失代償期ALC患者的近期療效顯著。移植前患者病情可能影響移植后療效,但此結論有待更大樣本,多中心的隨機對照試驗來證實。?
②臨床試驗二:自體骨髓間充質干細胞移植治療酒精性肝硬化
2016年6月23日,韓國春川翰林大學醫學院牽頭在期刊雜志《Hepatology》上發表了一篇關于自體骨髓間充質干細胞移植治療酒精性肝硬化:第2階段試驗的臨床研究成果。【2】

方法:72名經基線活檢證實患有酒精性肝硬化且已戒酒6個月以上的患者接受了一項多中心、隨機、開放標簽的2期試驗。
有效性評估
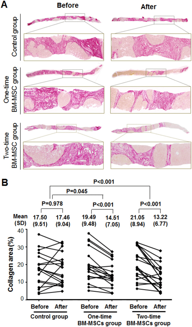
主要結果:在纖維化量化方面(治療前vs治療后),一次和兩次骨髓間充質干細胞(BM-MSC)組在BM-MSC治療后膠原比例面積分別減少了25%(19.49±9.48%vs14.51±7.05%)和37%(21.05±8.94%vs13.22±6.70%))。對照組的纖維化量化無顯著變化(圖1)。
在組間比較中,對照組和BM-MSC組在纖維化量化方面存在顯著差異(圖1B)。

Laennec纖維化評分進一步證實了這些結果。根據Laennec纖維化評分,對照組中有27%的患者觀察到組織學改善,一次性BM-MSC組中有61%的患者觀察到組織學改善,兩次BM-MSC組中有37%的患者觀察到組織學改善。
次要結果:評價整體肝功能的Child-Pugh評分在一次性BM-MSC組(7.6 ± 1.0 比 6.3 ± 1.3;P?= 0.035)和兩次 BM-MSC組(7.8±1.2 比6.8±1.6;P=0.003)均顯著改善。(圖2B)
一次性BM-MSC組和兩次BM-MSC組中ALP水平顯著降低。

安全性評估:三組發生不良事件的患者比例無差異,無與移植相關的嚴重并發癥出現。
綜上所述,通過符合方案分析進行分析:在纖維化量化方面(之前vs之后),一次和兩次BM-MSC組膠原蛋白比例分別減少25%和37%。BM-MSC移植后,兩組患者的Child-Pugh評分均顯著改善。三組患者出現不良事件的比例無差異。因此,研究表明自體BM-MSC移植可安全改善酒精性肝硬化患者的組織纖維化和肝功能。
③臨床試驗三:人臍帶血干細胞治療失代償期酒精性肝硬化
2017年3月15日,蘭州軍區蘭州總醫院在行業期刊《實用肝臟病雜志》上發表了一篇關于人臍帶血干細胞治療失代償期酒精性肝硬化臨床觀察的臨床案例成果。

方法:選擇失代償期酒精性肝硬化患者80例,隨機分為治療組40例和對照組40例。對照組行護肝治療,治療組在此基礎上經股動脈插管至肝固有動脈,注入臍帶血單個核細胞 1~5×107治療。
有效性評估
- 兩組肝功能和血細胞計數變化存在顯著性差異(P<0.05,表 1、表2)。
- 治療后8w,治療組和對照組血清ALB水平分別為(32.3±8.3)g/L和(24.6±7.7)g/L,PTA分別為(74.0±12.4)%和(58.3±12.3)%,差異有顯著性(P<0.05);
- GGT水平分別為(249.3±17.5)U/L和(358.3±16.5)U/L;
- ALP水平分別為(370.3±16.5)U/L和(490.3±17.5)U/L;
- MCV水平分別為(89.5±5.4)fl和(102.8±4.6)fl;
- 淋巴細胞計數分別為(2.8±0.5)和(4.9±0.4)×10~9/L(P<0.05)。


安全性評估:兩組均未發現明顯的不良反應及并發癥。
結論:人臍帶血干細胞治療失代償期酒精性肝硬化患者可以改善肝臟的合成功能,安全性好。
④臨床試驗四:干細胞聯合促肝細胞生長素治療酒精性肝硬化療效
2017年12月14日,解放軍第153醫院在行業期刊《實用肝臟病雜志》上發表了一篇關于自體骨髓間充質干細胞聯合促肝細胞生長素治療失代償期酒精性肝硬化療效分析的臨床研究成果。

方法:2012年6月~2016年6月我科住院收治的67例失代償期酒精性肝硬化(ALC)患者,34例接受常規綜合治療,33例在常規綜合治療基礎上接受自體骨髓間充質干細胞(BMSCs)肝動脈移植治療,并接受促肝細胞生長素(pHGF)注射2月。
有效性評估
在治療后2個月,觀察組各項指標較對照組改善更明顯(P<0.01,表 1)。
在治療2月后,觀察組血清TBIL、ALB、PT、HA 水平分別為(55.9±12.6) μmol/L、(38.8±5.1) g/L、(13.4±3.6)s和(222.2±61.5)ng/ml,與對照組【(66.9±11.0)μmol/L、(33.8±5.8)g/L、(15.8±3.9)s、(284.5±30.5) ng/ml,P<0.01 或 P<0.05】比,差異顯著。

安全性評估:33例接受骨髓干細胞移植患者術后發生胃腸道反應5例,發熱1例,股動脈穿刺點出血形成淤斑3例,骨髓穿刺部位淤斑1例,均經止血、對癥治療后恢復。
綜上所述,研究人員在治療2月末,觀察組血清TBIL、ALB、PT、HA水平與對照組比,差異顯著。應用骨髓間充質干細胞移植聯合HGF治療失代償期酒精性肝硬化患者能較好地改善肝功能指標。
⑤臨床試驗五:脂肪干細胞成功治療三例酒精性急性肝衰竭
2019年12月,德國馬格德堡奧托馮格里克大學胃腸病學在國際期刊《Clinical and Translational Gastroenterology》上發表了一篇關于脂肪干細胞成功治療三例酒精性急性肝衰竭的臨床案例成果。

方法:在同情用藥的情況下,向3名因酗酒而患有急性肝衰竭 (ALF)?或慢性肝衰竭急性發作 (AOCLF)?的個體注射了脂肪干細胞 (ASC)。
有效性評估
所有患者在接受ASC治療后,臨床情況在不同時間段內均有所改善(表4)。

在ASC治療前,血清AST和ALT水平明顯升高(AST:412±153U/L;ALT:158±127 U/L;圖1a、b)。在接受ASC治療后,AST和ALT濃度在25天內(病例II)、88天內(病例I)或59天內(病例III)降至正常水平。

研究表明急性肝損傷也會導致肝臟硬度增加,肝硬化中過量的膠原沉積也是如此。因此,這些高的肝臟硬度值可能被解釋為嚴重的急性損傷。在兩種情況下均使用ASC治療后,可觀察到肝臟硬度大幅降低,病例 III在治療后75天達到正常值。病例II在治療后60天的瞬時彈性成像讀數正常。
安全性評估:未觀察到與脂肪干細胞治療相關的不良反應。
綜上所述,脂肪干細胞治療可改善一般狀況并降低血清轉氨酶。在?2例患者中,脂肪干細胞治療后,肝臟硬度降低,C13美沙西丁呼氣試驗顯示肝功能增強。脂肪干細胞治療后1至2個月內恢復正常狀態。未觀察到與脂肪干細胞治療相關的不良反應。
干細胞治療酒精性肝病的研究進展
截止2024年9月25日,國內萬方數據wanfangdata網站上搜索關于干細胞治療酒精性肝病的相關文章研究成果有44條。

結論
臨床研究結果顯示干細胞治療酒精性肝病是具有臨床價值的,能夠減輕肝臟損傷、促進肝細胞再生、改善肝功能、修復肝臟纖維化以及提高患者生存率。
盡管干細胞治療總體上安全,仍存在一些潛在風險,例如,低熱和頭暈和輕微不適反應。因此,患者在接受干細胞治療前需要進行詳細的檢查和評估,并在專業醫生的指導下進行治療。
隨著研究的深入和技術的成熟,我們期待干細胞治療能夠在酒精性肝病治療中發揮更大的作用。
相關閱讀:了解更多關于干細胞治療肝病的新聞資訊!
【1】沈建坤,鄭聯坵,潘興南,等.自體骨髓間充質干細胞治療失代償期酒精性肝硬化療效分析[J].實用肝臟病雜志,2015,18(06):628-632.
【2】Transplantation with autologous bone marrow-derived mesenchymal stem cells for alcoholic cirrhosis: Phase 2 trial Ki Tae Suk, Jung-Hwan Yoon, Moon Young Kim, Chang Wook Kim, Ja Kyung Kim, Hana Park, Seong Gyu Hwang, Dong Joon Kim, Byung Seok Lee, Sae Hwan Lee, Hong Soo Kim, Jae Young Jang, Chang-Hyeong Lee, Byung Seok Kim, Yoon Ok Jang, Mee Yon Cho, Eun Sun Jung, Yong Man Kim, Si Hyun Bae, Soon Koo Baik
【3】周新人,王方,云升皓,等.人臍帶血干細胞治療失代償期酒精性肝硬化臨床觀察[J].實用肝臟病雜志,2017,20(02):232-233.
【4】焦栓林,趙曉蕊,歐陽洪,等.自體骨髓間充質干細胞聯合促肝細胞生長素治療失代償期酒精性肝硬化療效分析[J].實用肝臟病雜志,2017,20(06):773-774.
【5】G?tze, Tobias MD1; Krueger, Michael MD2; Meutsch, Juliane PhD2; D?rfel, Max PhD2; Born, Stephan PhD2; Sowa, Jan-Peter PhD1; Canbay, Ali MD1. Three Cases of Alcohol-Induced Acute-On-Chronic Liver Failure With Successful Support by Adipose-Derived Stem Cells. Clinical and Translational Gastroenterology 10(12):p e00095, December 2019. | DOI: 10.14309/ctg.0000000000000095
免責說明:本文僅用于傳播科普知識,分享行業觀點,不構成任何臨床診斷建議!杭吉干細胞所發布的信息不能替代醫生或藥劑師的專業建議。
版權說明:本文來自杭吉干細胞科技內容團隊,歡迎個人轉發至朋友圈,謝絕媒體或機構未經授權以任何形式轉載至其他平臺,轉載授權請在網站后臺下方留言獲取。
掃碼添加微信