在一項單點I期研究中,解放軍總醫院附屬八一腦科醫院等研究人員評估了NSI-566移植治療慢性運動性中風引起的偏癱的可行性和安全性,并確定了未來試驗的最大耐受劑量。
- NSI-566是一種穩定的原代粘附神經干細胞系,源自單個人類胎兒脊髓,通過表觀遺傳擴增,無需進行基因改造。該細胞系正在美國臨床試驗中接受測試,用于治療肌萎縮側索硬化癥和脊髓損傷。
解放軍總醫院:神經干細胞移植治療缺血性中風,臨床表明效果良好!
該項Ⅰ期研究發在國際期刊雜志《Stem Cells Translational Medicine》上,這項研究結果表明,Ⅰ期臨床研究結果反響良好,顯示出一種特殊的人源神經干細胞系對于偏癱性中風(身體的一側無力或癱瘓)后運動功能恢復的治療潛力。
此外,在此單臂試驗中,細胞移植后患者的運動功能得到改善。這表明該手術是安全的,并有可能為中風后運動障礙的患者帶來益處。

什么是神經干細胞-什么是NSI-566
神經干細胞是哺乳動物胎兒發育過程中神經軸沿線神經上皮中存在的前體細胞。
本研究中使用的試驗產品Neuralstem, Inc。(NSI)-566是一種穩定的原代細胞系,由源自單個人類胎兒脊髓組織的神經干細胞組成,僅通過表觀遺傳手段擴增,未進行基因改造。
- 簡而言之,NSI-566是一種穩定的擴增人類神經干細胞系,源自單個孕周約為8周的胎兒脊髓組織。這些細胞未引入任何基因改造。在手術前一天,將臨床批次的第12代細胞濃縮、即用型細胞劑量制成活細胞懸浮液,并在手術當天早上以2°C–8°C的溫度運送到移植手術現場。在這種配方中,產品在制備后48小時內均可使用。
該細胞系正在美國進行臨床試驗,神經干細胞移植用于治療肌萎縮側索硬化癥 (ALS;NCT01348451、NCT01730716) 和脊髓損傷 (SCI;NCT01772810;ClinicalTrials.gov標識符:NCT03296618)。




各種臨床前和臨床研究已證明NSI-566在逆轉各種神經病因引起的癱瘓方面具有治療潛力。
已開展了三項NSI-566同種異體移植臨床研究:兩項ALS研究(n= 30)和一項慢性SCI研究(n=4),共計34名參與者,迄今為止已進行了2-6年的人體安全性/療效監測。
這些研究的結果證明,NSI-566可以在宿主實質中存活至少2.5年,即使在短暫免疫抑制的情況下,也是安全的,并且可以為神經損傷患者提供臨床益處。與歷史對照組相比,接受NSI-566的I期和II期ALS受試者在24個月時表現出顯著的功能穩定性以及顯著更好的綜合功能/生存評分。
解放軍總醫院正式確認:神經干細胞移植治療缺血性腦卒中(中風)效果良好!
缺血性中風導致的癱瘓是全球范圍內長期神經系統殘疾的主要原因,尤其是在中國和其他亞洲國家。目前尚無有效療法可逆轉中風相關癱瘓。我們已研究了移植NSI-566逆轉9名穩定偏癱中風患者癱瘓的可行性和安全性。
方法:總共計劃招募9名參與者,并按1200萬、2400萬和7200萬個細胞的三個劑量組順序依次招募(?每組3名參與者,表1)。所有參與者均已完成12-24個月的預定隨訪。

人口統計與安全:入選的9名受試者中,8名的功能障礙為中度殘疾,需要一些幫助但能夠獨立行走(MRS3級)。剩余的受試者(#107)為中度嚴重殘疾,無法行走并且無法在沒有幫助的情況下自我護理(MRS4級)。
根據Fugl-Meyer運動評分 (FMMS,總分100分) 確定的運動障礙,受試者的運動障礙分數范圍為19至48分,該分數必須為55分或更低才能納入研究。3例為左半球中風,6例為右半球中風。最長梗塞尺寸范圍為17.2至86.6毫米。受試者在中風后150至743天接受了干細胞治療(表2)。

縮寫:F,女性;FMMS,Fugl-Meyer運動評分;L,左;M,男性;MRS,改良Rankin評分;NIHSS,美國國立衛生研究院卒中量表;R,右;SC,皮質下。
參與者的平均年齡為44歲(最小30歲,最大54歲),平均NIHSS評分為6.3,平均FMMS(總分100分)為32.6,平均MRS為3.1。各劑量組的基線卒中特征相似(表3)。

縮寫:AE,不良事件;FMMS,Fugl-Meyer運動評分;MRS,改良Rankin評分;NIHSS,國立衛生研究院卒中量表;SAE,嚴重不良事件。
安全評估:干細胞治療缺血性中風術后1、3、6、9、12和24個月安排隨訪,以評估安全性和探索性結果。安全性評估包括手術當天或第二天進行計算機斷層掃描 (CT) 掃描以監測潛在出血,以及在預定的隨訪中進行體檢、實驗室監測和臨床中風評估,以及定期進行MRI成像研究。
研究期間報告了35起不良事件 (AE)(表3)。15和45個細胞沉積物的注射時間平均為1:42和4:32(小時:分鐘)。然而,劑量組中的不良事件沒有明顯增加(A、B和C組分別為18、2、15)。兩名受試者經歷了嚴重的不良事件。一名受試者報告了兩次膽囊炎(神經干細胞移植無關)。
神經干細胞穩定腦內移植治療缺血性中風所致癱瘓臨床結果
分析了三個劑量組綜合參與者的12個月 (n=9) 或24個月 (n=6) 隨訪數據的臨床變化。在第12個月的隨訪中,平均FMMS(總分100)較基線提高了16.0分(p=0.0078,圖1B)。

FMMS改善在第1、3、6和9個月也具有統計學意義。12個月隨訪時的平均MRS較基線提高了0.8分(p?=0.031,圖1C)。
第3和第9個月的MRS改善也具有統計學意義。12個月隨訪時的平均NIHSS較基線提高了3.1分,具有統計學意義(p=0.020,圖1D)。這些改善在24個月隨訪時得到維持。
所有劑量的干細胞治療均耐受性良好。未發生神經系統惡化或治療相關并發癥。最大測試劑量7.2×107細胞耐受性良好,且安全性問題不比兩種較低細胞劑量多。
影像學檢查
本研究中使用的9名受試者的影像學研究證實了觀察到的臨床結果。在一名受試者的術后MRI上觀察到成熟出血和腦軟化的證據,并沿著推測的植入針道形成充滿腦脊液的腔,但與梗塞腔分開。除此之外,沒有觀察到急性術后并發癥的后遺癥。
在6個月的隨訪中,所有9名受試者均觀察到新組織,源自腦軟化梗塞腔。該腔內組織外觀具有以下特征:短期活力(術后第一次MRI與基線相比的組織外觀)—9例中有9例;生長(術后至少兩次MRI中新組織增加)—6例中有6例;穩定(術后至少兩次MRI中新組織無變化;即生長平臺期,最長為24個月)—6例中有5例;無法獲得24個月后的長期活力。圖2顯示了腔內組織生長的縱向MRI示例。9名受試者的梗塞腔內這種無關組織的存在都很明顯(圖3)。

圖中顯示了B組 (#106) 受試者在T1MRI上隨時間的變化。
(A):基線時,(B) 6個月隨訪時,(C) 12個月隨訪時,(D) 24個月隨訪時。箭頭表示梗塞腔。
可以看到兩個組織團塊,在基線時不存在,推測是來自植入的NSI-566,隨著時間的推移,它們似乎慢慢填滿了腔體。

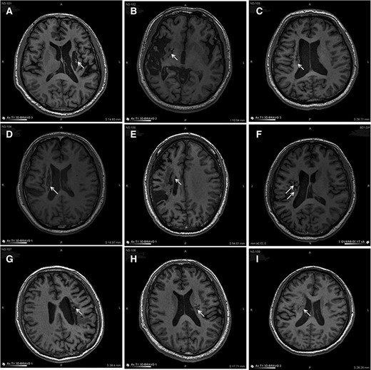
圖中顯示的是所有9名受試者(#101–109)在NSI-566移植后最新隨訪時的T1MRI圖像。箭頭指示梗塞腔位置。
(A):#101,24個月時,(B)#102,12個月時,(C)#103,14個月時,(D) #104,9個月時,(E)#105,14個月時,(F)#106,24個月時,(G) #107,21個月時,(H) #108,12個月時,(I) #109,14個月時。所有九個病例中梗塞腔內均有新組織生長。
總結:經磁共振成像 (MRI) 證實,始于手術前5至24個月,改良Rankin評分[MRS]為2、3或4,Fugl-Meyer運動評分為55或更低。
- 在第12個月的隨訪中,9位受試者的平均Fugl-Meyer運動評分 (FMMS,總分100) 顯示提高了16分 ( p=0.0078),平均MRS顯示提高了0.8分 ( p=0.031),平均國立衛生研究院中風量表顯示提高了3.1分 ( p=0.020)。
- 對于6位受試者,在隨訪24個月后,這些平均變化保持穩定。所有劑量的治療均耐受性良好。縱向MRI研究顯示,所有9名患者都有證據表明新神經組織形成填充了空腔。
神經干細胞移植治療缺血性腦中風的討論
安全性和最大耐受劑量
NSI-566是從單個胎兒脊髓組織中分離的表觀遺傳擴增的原代人類神經干細胞 (hNSC) 系。據我們所知,這是首次評估將原代hNSC移植到慢性中風腦部的可行性和安全性的研究。一個目標是確定慢性中風患者梗塞周圍部位的最大耐受劑量 (MTD)。
MTD由三個不同的因素決定:
- 可以制備用于可重復注射活細胞的最大細胞密度,
- 在最大細胞密度下可以安全輸送的最大細胞懸浮液體積,而不會對周圍組織造成過度壓迫,以及
- 將細胞懸浮液沉積在戰略位置的最大可行腦部穿透次數。通過三個穿透軌道將分布在45個沉積物中的7200萬個細胞輸送是安全的。
根據梗塞腔內新組織生成的圖像數據,基于每搏輸出量的進一步增加劑量可能是未來研究中需要測試的另一個變量,以優化個體患者的最大治療劑量。
一名患者報告的兩起急性膽囊炎是該研究中記錄的唯一嚴重不良事件。
治療效果的程度
FMMS改善10分被認為具有臨床意義。從所有劑量的參與者(n?=9)的平均值來看,12個月時FMMS與基線相比的變化為16分,并且保持穩定至24個月。MRS和NIHSS測量的改善進一步證實了這一結果。這一結果令人鼓舞,可以繼續進行一項隨機、假手術對照、雙盲研究,研究隊列規模更大。
目前尚不清楚大腦在受傷后多久仍能保持可塑性和重組神經肌肉通訊的能力。人們普遍認為這種能力在受傷后會隨著時間推移而下降。因此,在本研究中,我們任意將慢性損傷期限制在中風后不超過24個月。八名參與者在干細胞移植前12-24個月發生中風事件,一名參與者在移植前5個月發生中風事件。
此處的觀察結果表明,研究人群對hNSC治療有反應,適合未來的hNSC試驗。我們計劃在未來的研究中測試中風后hNSC治療時間、年齡和性別作為協變量。
神經干細胞移植治療缺血性腦中風的潛在作用機制
已報道了多項臨床研究,評估了將其他類型的細胞移植到與我們的研究特征相似的慢性運動性中風患者的基底神經節中的效果。一項是經過基因改造以暫時過表達Notch-1蛋白的骨髓來源細胞。另一項是來自胎兒神經組織的永生化細胞系。這些細胞的治療作用機制尚不清楚,但被認為與抑制炎癥有關。
在各種動物研究中,NSI-566的一個突出特性是其強大的體內神經發生潛力,這反映在它們發出/接收長距離投射并與宿主組織整合的能力上。
因此,NSI-566已顯示出通過旁分泌因子提供神經營養支持、實現與宿主神經元的突觸整合以及促進宿主神經纖維再生的能力。從ALS臨床研究來看,NSI-566移植物在HLA不匹配的受體中僅產生短暫的免疫抑制,可存活很長時間。因此,預計NSI-566的這些神經營養/神經再生作用將持續很長時間。
結論
將人類脊髓神經干細胞移植到穩定中風患者的梗塞周圍區域耐受性良好,并且通過三種不同的臨床結果測量表明具有初步臨床益處。成像研究的結果表明干細胞植入區域有新的神經組織形成。這些結果值得進行更大規模、隨機、對照、雙盲研究。
參考資料:Guangzhu Zhang, Ying Li, James L. Reuss, Nan Liu, Cuiying Wu, Jingpo Li, Shuangshuang Xu, Feng Wang, Thomas G. Hazel, Miles Cunningham, Hongtian Zhang, Yiwu Dai, Peng Hong, Ping Zhang, Jianghong He, Huiru Feng, Xiangdong Lu, John L. Ulmer, Karl K. Johe, Ruxiang Xu, Stable Intracerebral Transplantation of Neural Stem Cells for the Treatment of Paralysis Due to Ischemic Stroke, Stem Cells Translational Medicine, Volume 8, Issue 10, October 2019, Pages 999–1007, https://doi.org/10.1002/sctm.18-0220
免責說明:本文僅用于傳播科普知識,分享行業觀點,不構成任何臨床診斷建議!杭吉干細胞所發布的信息不能替代醫生或藥劑師的專業建議。如有版權等疑問,請隨時聯系我。
掃碼添加官方微信